Dec 16, 2021 by Philips
Reading time: 1-2 minutes
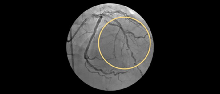
Approximately 20% of the coronary lesions treated today are long and diffuse.1,2

– Stent length is an independent predictor of in-stent restenosis and thrombosis.
– Stenting long segments with multiple and or overlapping stents may lead to injury to the vessel wall integrity.
– Diffuse CAD may be underestimated by evaluation with coronary angiography.
– Determining reference vessel sizing can be challenging when the vessel is diffusely diseased.
IVUS-guided vs. angiography-guided outcomes3




Sign up to receive news and updates from Philips
1. Xu B., Gao R. L., Zhang R. Y., et al. Efficacy and safety of FIREHAWK abluminal groove filled biodegradable polymer sirolimus-eluting stents for the treatment of long coronary lesions: nine-month angiographic and one-year clinical results from TARGET I trial long cohort. Chinese Medical Journal. 2013;126(6):1026–1032. 2. Ahn J. M., Park D. W., Kim Y. H., et al. Comparison of resolute zotarolimus-eluting stents and sirolimus-eluting stents in patients with de novo long coronary artery lesions a randomized LONG-DES IV trial. Circulation: Cardiovascular Interventions. 2012;5(5):633–640. 3. Costa JR, Mintz GS, Carlier SG, et al. Nonrandomized comparison of coronary stenting under intravascular ultrasound guidance of direct stenting without predilation versus conventional predilation with a semi-compliant balloon versus predilation with a new scoring balloon. Am J Cardiol. 2007;100:812-817. 4. Hong S-J, et al. “Effect of Intravascular Ultrasound-guided Drug-Eluting Stent Implantation: Five-Year Follow-Up of the IVUS-XPL Randomized Trial, JACC: Cardiovascular Interventions (2020), doi: www.doi.org/10.1016/j.jcin.2019.09.033.
5. Weisz, G., Metzger, D. C., Liberman, H. A., O'Shaughnessy, C. D., Douglas, J. S., Jr, Turco, M. A., Mehran, R., Gershony, G., Leon, M. B., & Moses, J. W. (2013). A provisional strategy for treating true bifurcation lesions employing a scoring balloon for the side branch: final results of the AGILITY trial. Catheterization and cardiovascular interventions: official journal of the Society for Cardiac Angiography & Interventions, 82(3), 352–359. https://doi.org/10.1002/ccd.24630.
You are about to visit a Philips global content page
Continue