EN
AR

Image enhancement technology

Bone Suppression image enhancement

Bone Suppression image enhancement technology

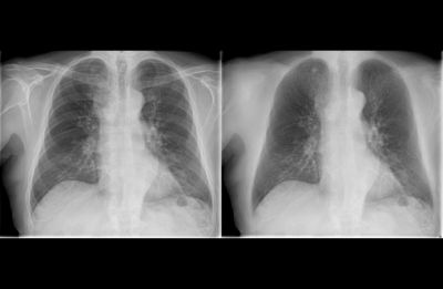
Philips Bone Suppression image enhancement technology uses AI to suppress bones on digital adult erect chest X-ray images, creating both a conventional image and an unobstructed soft tissue image with a single exposure. Bone Suppression is fully integrated into the Eleva workflow.

Features

Clinical Image of Bone Suppression

Confident interpretation


By providing a soft tissue image in addition to a conventional chest image, Bone Suppression provides decision-making support without the need for additional X-ray dose or time. With Bone Suppression, actionable lung nodule detection is improved up to 16.8%. [1]

Clinical Image of Bone Suppression

Efficient workflow


Bone Suppression does not require an additional procedure, add to examination time or require additional equipment. Depending on the protocol, for each adult erect chest PA/AP image a bone-suppressed image can be automatically generated and sent to PACS in addition to the conventional image. Both the conventional and the bone-suppressed image can be accessed and reviewed at the PACS viewing station at any time.

Bone Suppression image enhancement technology is available on

  •  

    Radiography 7000 C — DigitalDiagnost C90  

    The system allows you to comfortably see more patients per day and shorten patient wait times by decreasing the time to diagnosis with innovative tools that help drive workflow efficiency. DigitalDiagnost C90’s live tube head camera, versatile room configurations, and exam automation technologies all help assure outstanding patient throughput.

  •  

    CombiDiagnost R90  

    This remote controlled fluoroscopy system in combination with high-end digital radiography is designed for consistent, superb image quality and high room utilization, in a cost effective manner.

We are always interested in engaging with you.

Let us know how we can help.

1
Select your area of interest
2
Contact details

Footnotes
 

*ClearRead Bone Suppression by Riverain Technologies

[1] Freedman M et al. Improved detection of lung nodules with novel software that suppresses the rib and clavicle shadows on chest radiographs. Radiology. 2011.

[2] See 15 more patients/day, save 8 hrs. overtime/week, and avoid approx. 28 retakes/week (compared to the previous release of DigitalDiagnost and based on 100 patients per day. Actual results in other cases may vary)

You are about to visit a Philips global content page

Continue

You are about to visit a Philips global content page

Continue

Our site can best be viewed with the latest version of Microsoft Edge, Google Chrome or Firefox.